根據衛福部統計,台灣成人牙周病盛行率高達80.48%,且約有47%問題嚴重,任何年齡層皆有可能發生,原因多是口腔問題長期累積與不自覺牙周病而忽略就醫。
牙結石、牙菌斑藏在牙周囊袋
在牙齒和牙齦之間有一個口袋,我們稱為牙周囊袋。平常聽到的牙結石、牙菌斑就在囊袋之中。合理的牙周囊袋深度介在3毫米(mm)以內,但如果患有牙周病,牙周囊袋會隨之加深,清潔也會越來越困難,且細菌增殖。此時牙周病的症狀就會凸顯,例如:牙肉紅腫容易出血發膿、牙肉萎縮、牙根裸露及敏感、牙縫變大容易塞東西、口臭、牙齒搖動、牙齒位置改變或變長、咀嚼無力等。
牙周治療的目標即是減少牙周囊袋深度到合理的範圍,且持續叮嚀患者口腔清潔,確保能自行將囊袋清潔乾淨。
◎牙周病治療有以下方式
●非手術治療:健保基礎治療,初期約診較頻繁,牙周病穩定後,3個月1次回診。
1.口腔衛生教育:提醒正確的刷牙方法,包含牙刷的選擇、牙刷與牙間刷的使用方式、其他輔助工具的使用,另針對飲食習慣進行調整。
2.深層牙結石清除:分次清潔口內深層結石,避免在診療椅上過久造成頸椎不適。搭配麻藥使用,減少治療期間的不適。
3.輔助的化學藥劑使用:針對適應情況,依據文獻建議,給予口服抗生素或是抗生素凝膠輔助。
●手術治療:針對較嚴重且積極處理能改善的齒位。
1.牙周翻瓣手術:因非手術治療有其極限,針對位置較深的結石,在局部麻醉下,將牙齦最小限度翻開,清除結石。在醫院為健保項目。
2.牙周再生手術:若臨床情況允許,在牙周缺損處填入再生材料,期待後續牙周組織再生,將失去的齒槽骨重建。
牙周病與糖尿病等病也有關聯
牙周病影響的不僅是口腔健康,對於糖尿病等全身系統性疾病也有關聯。積極處理牙周病,不單只是刷牙不流血、日常不悶痛,還能期待後續生活品質的提升。
(本文作者為彰化基督教醫院牙周病科黃思齊醫師/本文刊載於2025年9月14日自由時報健康醫療版)
黃思齊醫師簡介

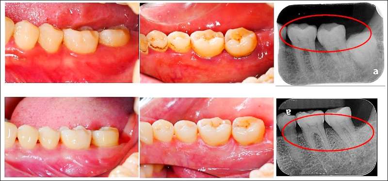
▲患者經過牙周治療後(下排為治療後),口腔清潔能力改善。