CCH News

彰基訊息

媒體報導

彰基胸腔內外科健康講座 病友更細緻瞭解肺癌治療

2024/12/07


彰基醫學中心為守護每一位肺部疾病患者的健康,7日舉辦肺癌病友關懷活動,希望藉由活動,促進病友們相互支持,分享治療和日常生活管理的經驗,透過胸腔內、外科醫師進行健康講座,讓病友更細緻瞭解肺癌治療。

彰基肺癌治療團隊召集人/胸腔外科醫師洪維亨表示,肺癌發生率越來越高,病友越來越多,彰基非常的用心安排肺癌病友關懷活動,介紹各種新知;此次病友關懷活動健康講座主題,分別是由胸腔內科呂俊佑醫師介紹最新標靶藥給付的條件,外科的部分則是由胸腔外科鄭雅夫醫師位介紹最新的消融技術,希望病友關懷活動能提供病友及家屬更多的新的治療選擇,如果還有任何問題,都可以到彰基胸腔內科及外科的門診接受諮詢。

呂俊佑醫師在「標靶藥物健保給付規範~最適合的選擇」健康講座中提到,台灣的健保體系下,肺腺癌的標靶治療已涵蓋多種由基因變異所引起的標靶藥物,並針對不同階段的患者提供了合理的選擇與銜接。例如,常見的基因變異如EGFR、ALK、ROS1等,都有相應的標靶藥物可供使用。對於肺腺癌患者而言,從一線治療到二線治療的順利銜接至關重要,這樣能在病情進展的情況下,依然保持有效的治療效果。

呂俊佑醫師指出,一位84歲男性被診斷為左側肺癌,腫瘤組織檢查顯示存在EGFR突變,經超過一年的第三代標靶藥物治療,患者的療效良好,且副作用控制在可接受範圍內。

鄭雅夫醫師在「腫瘤治療新選項~腫瘤消融術」健康講座中表示,肺腫瘤消融術是針對肺癌患者的一種微創治療方法,適合無法接受傳統手術切除的患者,例如因腫瘤位置特殊或病患健康狀況不允許進行大範圍手術的情況。此療法的原理是利用冷凍(冷凍消融)或高溫(射頻消融、微波消融)技術,使其腫瘤壞死並逐漸被身體吸收或排除。肺腫瘤消融術的優點包括手術風險低、住院時間短、併發症相對較少。對於無法進行傳統手術的早期肺癌患者或肺癌轉移患者來說,這種療法提供了一種安全且有效的治療選擇,能夠延長患者的生存期並提高生活品質。

台灣健保體系已經覆蓋了多種肺腺癌的標靶藥物,並對不同基因突變與重排提供了個別化的治療方案。隨著新藥的研發與上市,未來將會有更多治療藥物納入健保給付範圍,為患者提供更廣泛的選擇與更有利的生存預後。對患者而言,早期進行基因檢測並選擇精準治療,是提高療效、延長生存的關鍵。

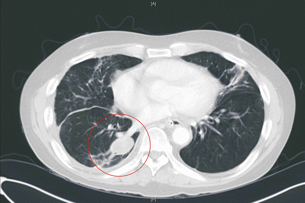
鄭雅夫醫師指出,一位52歲男性為因為罹患下咽癌合併多處轉移,經過化療及免疫治療後,仍然有右上肺及右下肺的腫瘤存在。患者於7個月前接受胸腔鏡右上肺及右下肺部分切除後腫瘤控制較穩定。此次再次發現右下肺長出一顆三公分的腫瘤,有鑑於病患的肺功能不佳,二次手術也容易沾黏較不合適,於是選擇了在複合式手術室中做微波肺部消融術治療,術後腫瘤消融狀況良好,病患也於觀察一天後即可出院,肺部消融術是一項針對不適合接受肺部切除術的良好替代選擇。

病友蘇小姐表示,她是肺腺癌最快樂的第4期患者,2017年肺腺癌第一期在北部開刀,但是去年11月發現擴散到第4期,尋求第二醫囑之後,因為住在嘉義,所以就選擇到彰基,今天剛好是屆滿一年的治療。她認為第4期是晚期肺癌,但不是末期,所以不要太擔心;她說:「我是最快樂的第4期,因為你有呼吸,就是人生一盤活棋,所以請大家就該怎麼樣治療就治療」。她說,彰基給她很好的資訊,自己也覺得安心,每天讓自己很喜樂,想做什麼就做什麼、想吃什麼就吃什麼。

蘇小姐呼籲病友說:「告訴自己晚期肺癌不是末期。」即使她是第4期,都可以快樂過日子,只要你能走出去、你能動,你就要行動,所以幫助自己也幫助自己的生命,可以活得很喜樂、很平安,請大家也要快樂下去。

彰基為守護每一位肺部疾病患者的健康,舉辦肺癌病友關懷活動。

彰基肺癌醫療團隊透過活動激勵病友與家屬,與病友共同抗癌 。

洪維亨醫師表示,彰基非常用心安排肺癌病友關懷活動,介紹各種新知。

呂俊佑醫師進行「標把藥務健保給付規範~最適合的選擇」健康講座。

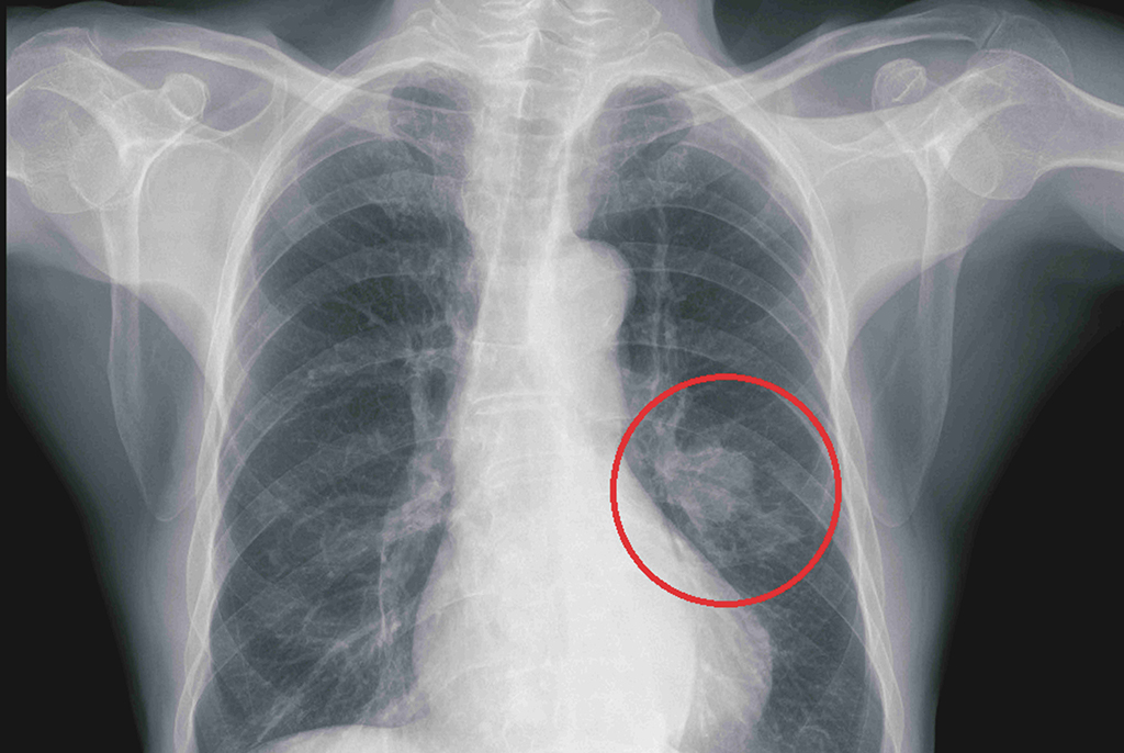
84歲男性患者,被診斷為左側肺癌,腫瘤組織檢查顯示存在EGFR突變。

84歲男性患者,經過超過一年的第三代標靶藥物治療,療效良好。

鄭雅夫醫師進行「腫瘤治療新選項~腫瘤消融術」健康講座。

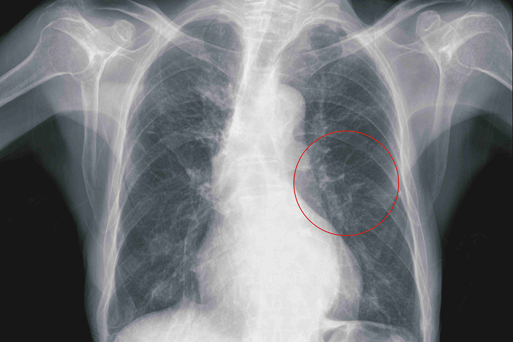
52歲男性患者,微波消融術前,右下肺一顆3公分腫瘤。

52歲男性患者,腫瘤經微波消融術而壞死。

蘇小姐表示,彰基給她很好的資訊,自己也覺得安心,每天讓自己很喜樂。

瀏覽人數:1892

快速連結

蘭醫師LineBot

蘭醫師