Treatment Services

Fertility Tests

Basic examinations

Hysterosalpingography

Purpose

To examine if bilateral fallopian tubes are patent, swollen or blocked.

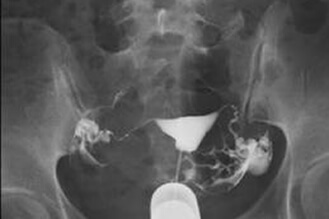
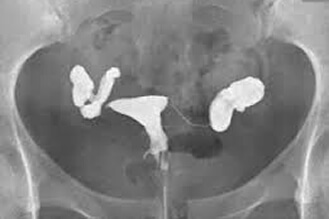
Normal salpingography,bilateral patent fallopian tubes
bilateral fallopian tubes swollen and blocked

Timing

From the end of menstruation to the start of ovulation, which means within one week after menstruation.

Method

After a vaginal speculum is inserted to spread and hold open your vaginal walls, a syringe held at your cervical region will be used to inject a contrast medium into your uterus. If both of the fallopian tubes are patent, the contrast medium will flow from the uterus to bilateral fallopian tubes and further into the pelvic cavity. With the use of fluoroscopy, we may capture whether the contrast medium flows into the pelvic cavity. The entire examination will take approximately 10 minutes.

A gentle reminder

  • 1The pain caused by salpingography varies from person to person. The Center of Reproductive Medicine will provide oral analgesics and anti-inflammatory drugs before the examination. Sensitive females may choose to use self-paid catheters to alleviate the pain.
  • 2The pain caused by salpingography varies from person to person. The Center of Reproductive Medicine will provide oral analgesics and anti-inflammatory drugs before the examination. Sensitive females may choose to use self-paid catheters to alleviate the pain.