Our Service 疗程服务

不孕症相关检查

Infertility

基本檢查

輸卵管攝影檢查

檢查目的

了解雙側輸卵管是否通暢,是否有水腫或不通的情形。

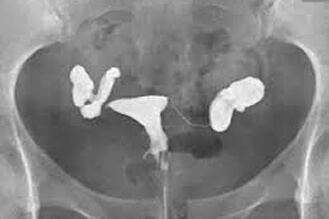
正常輸卵管攝影,雙側輸卵管通暢
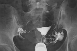
雙側輸卵管水腫不通

檢查時機

月經結束後的一週內

檢查方式

使用鴨嘴將陰道撐開後,將顯影劑注射器固定於子宮頸,隨後將顯影劑打入子宮腔內,若雙側輸卵管通暢,顯影劑會經由子宮腔流向雙側輸卵管再流入骨盆腔內。經由X光拍攝,即可知道顯影劑是否有流入骨盆腔中。整個檢查過程只需10分鐘左右。

溫馨提醒

  • 1輸卵管攝影依照每個人的狀況不同疼痛感也不同,生殖中心於檢查前會給予口服止痛藥及消炎藥,若比較怕痛的女性可以選擇自費導管以減輕疼痛。
  • 2請於月經期間至門診安排輸卵管攝影檢查的日期。