Our Service 疗程服务

不孕症相关检查

Infertility

基本檢查

输卵管摄影检查

检查目的

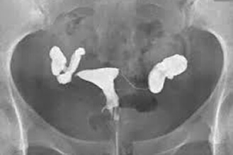
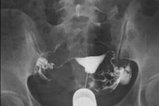
了解双侧输卵管是否通畅,是否有水肿或不通的情形。

正常输卵管摄影,双侧输卵管通畅
双侧输卵管水肿不通

检查时机

月经结束到排卵以前,也就是月经结束后的一周内。

检查方式

使用鸭嘴将阴道撑开后,将显影剂注射器固定于子宫颈,随后将显影剂打入子宫腔内,若双侧输卵管通畅,显影剂会经由子宫腔流向双侧输卵管再流入骨盆腔内。经由X光拍摄,即可知道显影剂是否有流入骨盆腔中。整个检查过程只需10分钟左右。

温馨提醒

  • 1输卵管摄影依照每个人的状况不同疼痛感也不同,生殖中心于检查前会给予口服止痛药及消炎药,若比较怕痛的女性可以选择自费导管以减轻疼痛。
  • 2请于月经期间至门诊安排输卵管摄影检查的日期。