Our Service 各種治療

不妊症の検査

Infertility

基本的な検査

子宮卵管造影検査

目的

2つある子宮卵管が正常か、水腫や不通がないかを確認する。

正常な子宮卵管の造影,子宮卵管は2本とも正常
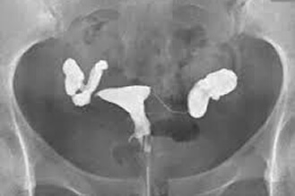
卵管水腫で不通

検査の時期

月経終了から排卵の前まで、すなわち月経終了から1週間以内。

検査方法

膣鏡で膣を開き、造影剤注射器を子宮頸部に固定して造影剤を子宮腔内に入れます。2本の子宮卵管が正常ならば造影剤は子宮腔から2本の子宮卵管を通り骨盤腔に流れ込みます。X線撮影により造影剤が骨盤腔に流れたかがわかります。検査過程は約10分です。

ご注意

  • 1子宮卵管造影は人によって痛みが異なります。当センターでは検査前に痛み止めの内服薬と消炎剤を提供しています。痛みに弱い方は、自費の導管を利用することで痛みを軽減できます。
  • 2子宮卵管造影検査の日程を決めるため、月経期間中にご来院ください。