Our Service 各種治療

不妊症の検査

Infertility

基本的な検査

経膣超音波検査

目的

子宮筋腫、卵巣チョコレート嚢胞、子宮内膜の厚さ、卵巣の卵胞数などは受精に影響する可能性があるため、経膣超音波検査でそれらの状況を確認します。

検査の時期

基本的に月経周期のどの期間にも経膣超音波検査ができます。医師はあなたのご都合に合わせて適切な日程を取り決めます。

検査方法

超音波プローブを膣に挿入すると、プローブと子宮、卵巣の距離が縮まり、子宮と卵巣の細かな点が見えるようになります。検査は約2~3分で終了します。

ご注意

  • 1検査の前には膀胱をすべて空にしておくようお勧めします。
  • 2月経期間も超音波検査は可能です。
正常な子宮
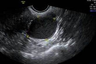
正常な卵巣
子宮筋腫
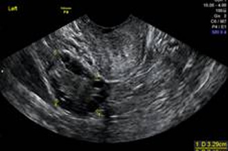
卵巣チョコレート嚢胞