Treatment Services

Fertility Tests

Basic examinations

Vaginal ultrasound scan

Purpose

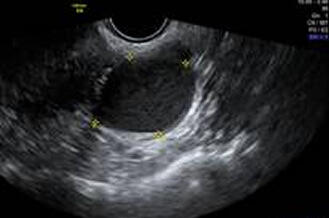
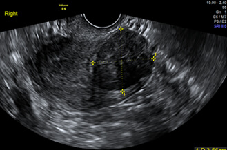
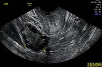
Conception may be affected by many factors, such as uterine myomas, chocolate cysts, endometrial thickness, and the number of antral follicles. All of these can be gathered by vaginal ultrasound scans.

Timing

Basically, vaginal ultrasound scans can be performed anytime. Your doctor will arrange a suitable time according to your situation.

Method

The insertion of the ultrasound probe into the vagina reduces the distance between the probe and the uterus/ovaries for further detailed investigations. The scan may be finished in 2 to 3 minutes.

A gentle reminder

  • 1It is advised to empty your urinary bladder before examination to facilitate the scan.
  • 2Ultrasound scans can be performed during a menstrual cycle!
Normal uterus
Normal ovaries
Uterine Myoma
chocolate cysts