Our Service 療程服務

不孕症相關檢查

Infertility

基本檢查

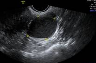
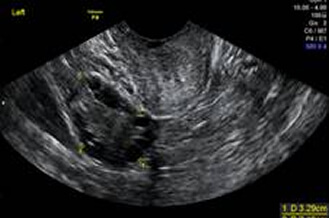
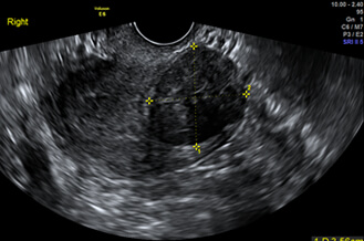
陰道超音波檢查

檢查目的

子宮肌瘤、卵巢巧克力囊腫、子宮內膜厚度、卵巢基礎濾泡數量…等,都可能影響受孕,這些資訊可以藉由陰道超音波檢查而得知。

檢查時機

任何時候都可以檢查

檢查方式

超音波探頭伸入陰道後,可以縮短探頭與子宮和卵巢的距離,看到子宮和卵巢更多的細節。檢查約2~3分鐘內可完成。

溫馨提醒

  • 1檢查前建議把膀胱排空,有助於檢查進行。
  • 2月經期間也是可以做超音波檢查喔!
正常子宮
正常卵巢
子宮肌瘤
卵巢巧克力囊腫