CCH News

彰基訊息

媒體報導

腦瘤竟是肺腺癌轉移 彰基用這招讓病患重拾健康

2025/10/21

近來多位名人因肺腺癌驟逝,引發社會對「最沉默的癌王」高度關注。肺腺癌初期幾乎沒有症狀,等出現頭暈、咳嗽或神經異常時,往往已屬晚期。彰基醫學中心在2022年即成功治療一名合併腦轉移的肺腺癌個案,透過跨科團隊的精準治療,病人不僅康復重返職場,三年後仍維持穩定;提醒民眾別等到不舒服才篩檢。

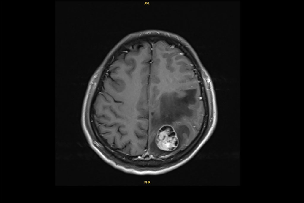
今年41歲的許先生,原從事文具業務,是家中主要經濟支柱;三年前(2022年)6月某日清晨,突然出現右側肢體無力與抽搐,倒地不起。家人驚慌之下緊急送至彰基急診。經電腦斷層及核磁共振檢查,醫師發現腦部有約3.1公分腫瘤,進一步追蹤又在右下肺發現4公分腫塊,確診為肺腺癌合併腦轉移。

彰基胸腔內科主任林聖皓醫師表示,肺腺癌在臨床上是很具挑戰性的癌症類型之一,尤其是非吸菸者也可能罹患。他說:「肺腺癌細胞常潛藏於肺的周邊組織,初期沒有咳嗽或胸悶等典型症狀,等到腫瘤被發現時常已侵犯或轉移。但透過基因分型,我們能找出關鍵突變並使用對應的標靶藥物,這是近年肺癌治療最大的突破之一。」

「病人剛入院時,我們先依臨床流程完成初步的基因檢測,但結果未發現可使用的突變標靶。」林聖皓主任說明,後續團隊持續評估治療方向,並協助病人參與國家衛生研究院的臨床基因試驗,最終發現具EGFR exon 19 deletion突變,得以申請第三代EGFR標靶藥物,使治療更具針對性與精準性。經過一段時間,影像追蹤顯示肺部腫瘤從原本的4公分縮小為2.8公分,控制成效顯著。

儘管標靶藥物初期控制良好,許先生仍出現神經症狀。胸腔內科隨即啟動跨科整合照護,與神經外科孫立偉醫師合作完成腦部腫瘤手術,術後神經功能逐漸恢復。考量長期治療效果,林聖皓主任與胸腔外科再度召開跨科討論,由洪維亨醫師進行肺葉切除手術達成更徹底的控制;洪醫師指出,肺癌合併腦轉移的手術風險高,但彰基具備完整的影像導引與重症照護體系,使病人能安全完成手術。

在手術籌備期間,彰基醫療團隊持續提供衛教與心理支持,並透過病友中心協助申請「育田基金」補助,減輕家庭經濟壓力,同時安排康復病友分享治療經驗,給予信心與鼓勵。在家人與團隊的陪伴下,許先生終於跨出關鍵一步接受治療,術後恢復良好,現已重返職場、轉任計程車司機。他感性地說:「從腦瘤、肺癌到重生,我很感謝彰基每位醫師和護理師,不只救了我的命,也讓我重新有了勇氣。」

林聖皓主任指出,肺癌是台灣癌症死亡首位,早期幾乎無症狀,唯有透過低劑量電腦斷層(LDCT)才能及早發現。「只要有吸菸史、家族病史或長期暴露油煙的民眾,都應定期篩檢,別等身體出現警訊才就醫。」

他提醒民眾善用政府提供的免費篩檢補助,及早掌握健康。彰基統計,2024年完成825人次篩檢、發現21例癌症;2025年1-9月篩檢1185人、發現10例。林主任表示越來越多民眾在無症狀階段就主動篩檢,「越早發現,治癒率越高,這才是肺癌防治真正的進步。」

彰基胸腔內科林聖皓主任提醒,肺腺癌初期不易察覺,若病況進展或轉移,院內仍有完整跨科團隊可應對。

彰基跨科團隊召開個案討論會,整合各科專業,為病人制定最合適的治療策略。

許先生的腦部核磁共振檢查發現腫瘤達3.1公分,進一步確診為肺腺癌轉移。

經治療後影像追蹤可見,原近4公分腫瘤明顯消失,病情獲得良好控制。

彰基團隊鼓勵民眾接受LDCT肺癌篩檢,讓早期發現成為最好的治療。

瀏覽人數:2056

快速連結

蘭醫師LineBot

蘭醫師