根據衛福部統計:臺灣成人牙周病盛行率高達80.48%,且約有47%問題嚴重,任何年齡層皆有可能發生,原因多是口腔問題長期累積與不自覺牙周病而忽略就醫。
在牙齒和牙齦之間有一個口袋,我們稱為牙周囊袋。平常聽到的牙結石牙菌斑就在該囊袋之中。合理的牙周囊袋深度介在3毫米以內,但如果患有牙周病,牙周囊袋也會隨之加深,伴隨囊袋加深,清潔越來越困難且細菌增殖。此時牙周病的症狀就會凸顯,例如:牙肉紅腫容易出血發膿、牙肉萎縮、牙根裸露及敏感、牙縫變大容易塞東西、口臭、牙齒搖動、牙齒位置改變或變長、咀嚼無力等。牙周治療的目標即是減
少牙周囊袋深度到合理的範圍,且持續叮嚀患者口腔清潔,確保能自行將囊袋清潔乾淨。後續以條列簡述治療:
一、非手術治療:健保基礎治療,初期約診較頻繁,牙周病穩定後三個月一次回診。
1.口腔衛生教育:提醒正確的刷牙方法,包含手動牙刷與電動牙刷的選擇、牙刷與牙間刷的使用方式、其他輔助工具的使用。每次回診提醒應加強清潔的位置。針對飲食習慣進行調整。
2.深層牙結石清除:分次清潔口內深層結石,避免在診療椅上過久造成頸椎不適。搭配麻藥使用,減少治療期間的不適。
3.輔助的化學藥劑使用:針對適應情況,依據文獻建議給予口服抗生素或是抗生素凝膠輔助。
二、手術治療:針對較嚴重且積極處理能改善的齒位。
1.牙周翻瓣手術:因非手術治療有其極限,針對位置較深的結石,在局部麻醉下,將牙齦最小限度翻開,清除結石。在醫院為健保項目。
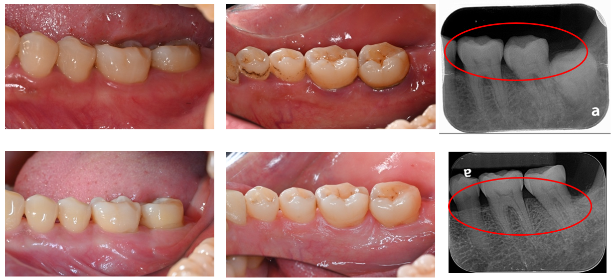
2.牙周再生手術:若臨床情況允許,在牙周缺損處填入再生材料,期待後續牙周組織再生,將失去的齒槽骨重建。
牙周病影響的不僅是口腔健康,對於糖尿病等全身系統性疾病也有關聯。積極處理牙周病,不單只是刷牙不流血,日常不悶痛,還能期待後續生活品質的提升。如果您對於牙周健康有疑慮,請別害怕,給自己一個機會,讓我們傾盡所學,協助您未來能好好吃飯!
附圖為筆者案例,患者經過牙周治療後,口腔清潔能力改善,重建缺損的牙周組織,減少牙齒動搖度,獲得期待的生活品質。

牙周病科主治醫師 黃思齊